Periodontal Hastalık Tedavisi
Periodontal Hastalıkları Anlamak: Diş Etlerinizi Koruyun, Gülümsemenizi Koruyun
Sağlıklı diş etleri, sağlıklı bir gülümsemenin temelidir. Ancak, periodontal hastalıklar — yaygın olarak diş
eti hastalıkları olarak bilinir — tedavi edilmezse ağız sağlığınıza sessizce zarar verebilir. Türkiye'nin
Antalya kentindeki MRK DENTAL'da profesyonel bakım almak, en iyi tedaviyi almanıza ve gülümsemenizi
yıllarca korumanıza yardımcı olabilir.
Periodontal Hastalıklar Nedir?
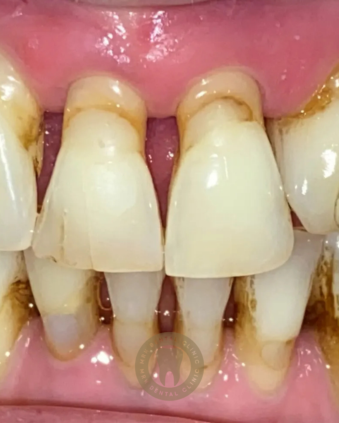
Periodontal hastalıklar, diş etlerini ve dişlerin destekleyici yapılarını etkileyen iltihabi durumlardır. Bu
hastalıklar, öncelikle dişlerin üzerinde oluşan yapışkan bir bakteri tabakası olan plak birikiminden
kaynaklanır.
Diş eti hastalığının iki ana aşaması vardır:
Diş eti iltihabı: Kırmızı, şiş ve kanayan diş etleri ile karakterize edilen erken aşama.
Periodontitis: Enfeksiyonun diş eti çizgisinin altına yayıldığı ve kemik kaybına ve diş kaybına yol
açabileceği ileri aşama.
Kalıcı hasarı önlemek için erken teşhis ve tedavi çok önemlidir.
Diş Eti Hastalığının Yaygın Belirtileri
Periodontal hastalıklar genellikle ağrısız bir şekilde gelişir, bu nedenle birçok kişi bir sorunu olduğunu fark
etmez. Yaygın belirtiler şunlardır:
Diş fırçalarken veya diş ipi kullanırken kanama
Kalıcı ağız kokusu
Şişmiş veya hassas diş etleri
Diş eti çekilmesi
Gevşek dişler
Bu belirtilerden herhangi birini yaşıyorsanız, mümkün olan en kısa sürede profesyonel bir diş hekimi
tarafından muayene edilmeniz önemlidir.
Nedenleri ve Risk Faktörleri
Periodontal hastalıkların gelişme riskini artıran birkaç faktör vardır:
Kötü ağız hijyeni
Sigara kullanımı
Diyabet
Genetik yatkınlık
Hormonal değişiklikler
Stres
Düzenli diş kontrolleri ve uygun günlük ağız bakımı, bu riskleri azaltmanın en iyi yoludur.
Periodontal Hastalıkların Tedavi Seçenekleri
Tedavi, durumun ciddiyetine bağlıdır:
Profesyonel Temizlik: Diş eti çizgisinin üstünde ve altında bulunan plak ve tartarın temizlenmesi.
Diş Taşı Temizliği ve Kök Düzeltme: Kök yüzeylerindeki bakterileri ortadan kaldırmak için derinlemesine
temizlik.
İleri Periodontal Tedavi: Ciddi vakalarda, diş eti ve kemik sağlığını geri kazanmak için cerrahi işlemler
gerekebilir.
Türkiye'nin Antalya kentindeki MRK DENTAL'de hastalar, mümkün olan en iyi sonuçları elde etmek için
tasarlanmış modern teknoloji ve kişiselleştirilmiş tedavi planlarından yararlanmaktadır.
Neden Türkiye'nin Antalya şehrinde periodontal tedavi tercih edilmeli?
Türkiye'nin Antalya şehri, yüksek kaliteli diş bakımı için popüler bir destinasyon haline gelmiştir.
Dünyanın dört bir yanından gelen hastalar, gelişmiş klinikleri, deneyimli profesyonelleri ve uygun fiyatlı
tedavi seçenekleri nedeniyle bu güzel Akdeniz şehrini tercih etmektedir.
MRK DENTAL'da tedavi görmek, uzmanlık, modern teknikler ve hasta odaklı hizmetin bir araya geldiği
kapsamlı bir diş eti sağlığı yaklaşımını garanti eder. Bugün diş etlerinizi korumak, yarın daha ciddi diş
problemlerini önleyebilir.
Son Bakış
Periodontal hastalıklar ciddi ancak önlenebilir durumlardır. Erken teşhis ve uygun tedavi, güçlü diş etleri
ve sağlıklı bir gülümsemeyi korumak için çok önemlidir. Türkiye'nin Antalya kentindeki MRK DENTAL'da
profesyonel bakım seçmek, en iyi sonuçları elde etmenize ve gelecekte ağız sağlığınızı korumanıza
yardımcı olabilir.
